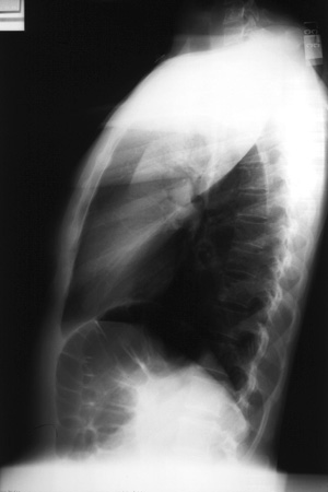
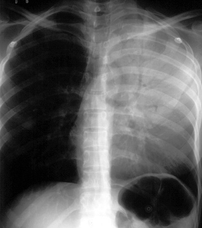
Left Upper Lobe Consolidation