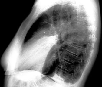
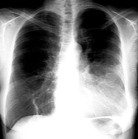
Lingular Consolidation
- Haziness in the left lower lung field
- Blunting of left costophrenic angle
- Loss of silhouette of left heart margin
- Density in the projection of lingula in lateral view
- Air bronchogram in lateral
- No significant loss of lung volume