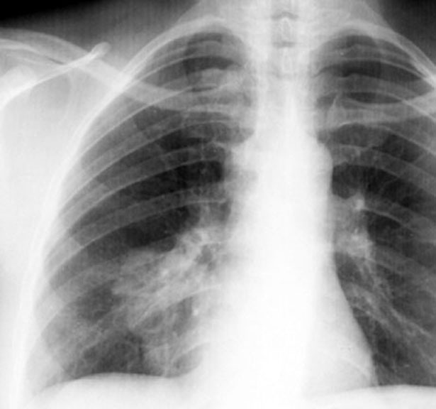
Wegener's Granulomatosis

  • RML mass

  • Paratracheal node

Lateral view below.

 

RML lesion