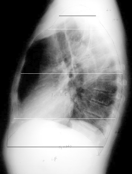
Radiologic Total Lung Capacity