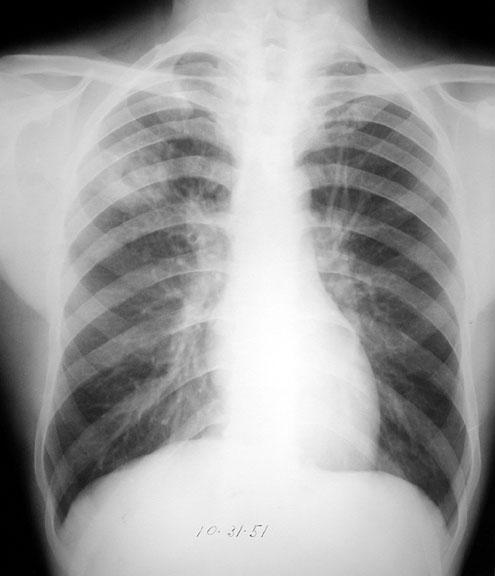
Tuberculosis

  • RUL cavity
  • Posterior segment

Close up below.