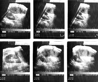
Splenic Hemorrhage

  • Left pleural effusion

Patient developed acute abdominal pain following a passionate hug. Developed ruptured spleen, and then presented with hemorrhagic pleural effusion.

Follow up film and spleen ultrasound below.