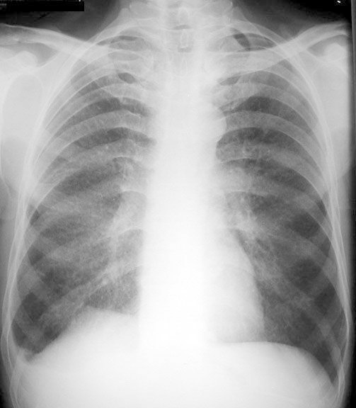
Silicosis

  • Miliary nodules

  • Blunting of right costophrenic angle

Close up view below.