Pulmonary Sequestration

Anomalous Arterialization of Lung

  • Increased vascular markings at right base

  • Smaller right pulmonary artery

Aortogram

Big anomalous artery arising from aorta supplying right lung

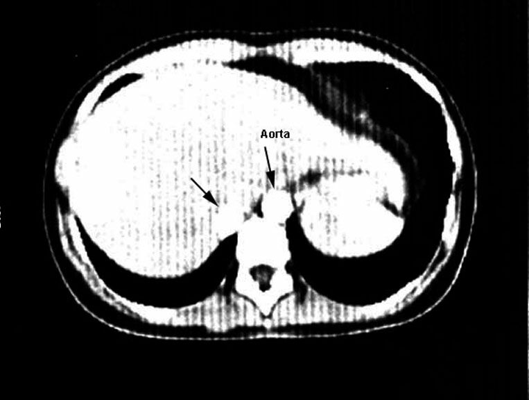
Aortogram

Big anomalous artery arising from aorta supplying right lung

Normal pulmonary venous drainage
Pulmonary angiogram
Anomalous artery and aorta
Increased blood flow to right lung base