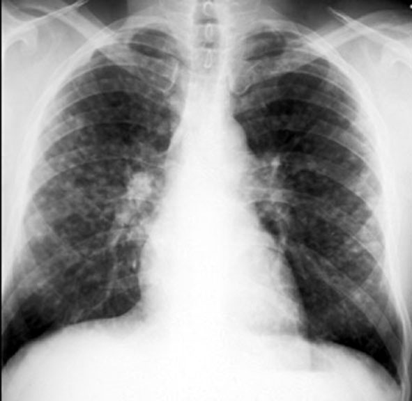
Sarcoidosis / Miliary Nodules / Hilar Nodes