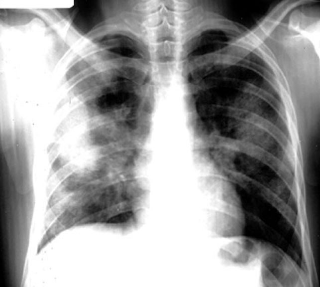
Sarcoidosis / Alveolar Form

  • Bilateral

  • Soft fluffy lesions

  • Segmental

  • Coalesce

  • Air bronchogram