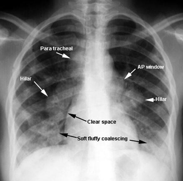
Sarcoidosis

Alveolar Form 

  • Symmetrical hilar nodes
  • Mediastinal nodes
  • Multiple bilateral mass densities with alveolar features
  • Soft coalescing

Labeled