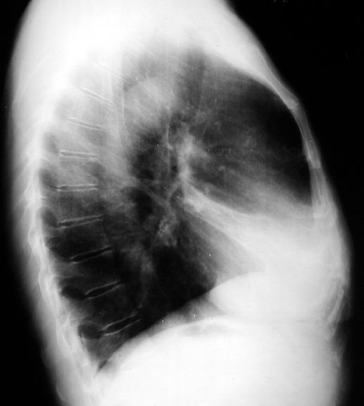
RML Atelectasis

  • Vague density in right lower lung field, almost normal

  • RML atelectasis in lateral view, not evident in PA view