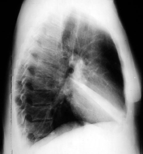
RML Atelectasis

  • Vague density in right lower lung field (almost a normal film).

  • Dramatic RML atelectasis in lateral view, not evident in PA view. Movement of transverse fissure.

Other findings include:

  • Azygous lobe