|
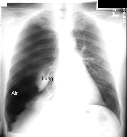
Relaxation Atelectasis The lung is held in apposition to the chest wall because of negative pressure in the pleura. When the negative pressure is lost, as in pneumothorax or pleural effusion, the lung relaxes to its atelectatic position. The atelectasis is a secondary event. The pleural problem is primary and dictates other radiological findings. |