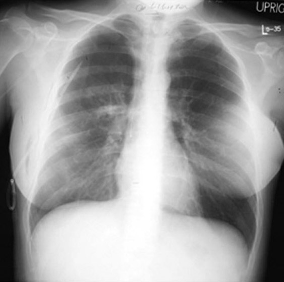
Unilateral Pulmonary Edema

Following Evacuation of Pneumothorax

Review the chest x-rays below which show  pneumothorax and following chest tube insertion. 

 

Pneumothorax
Chest tube in place