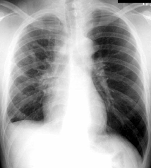
Pleural Fibrosis

  • Small right hemithorax

  • Diffuse haziness

  • Blunted costophrenic angle

SVC Syndrome
Mediastinal Fibrosis
Histoplasmosis

  • "Normal" mediastinum
  • Prominent hemi-azygous vein