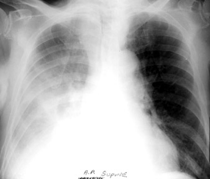
Pleural Effusion /

Upright and Supine