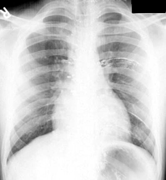
Extravasated Myelogram Dye

  • Dye along rib margins