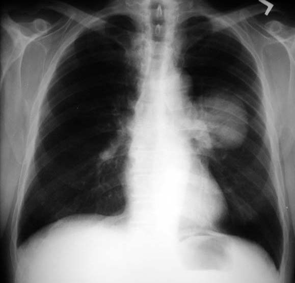
Lung Mass / Cancer Lung

  • Round homogenous density
  • Sharp margins
  • Pulmonary artery overlay sign
    • Mass is present in front of the descending left pulmonary artery