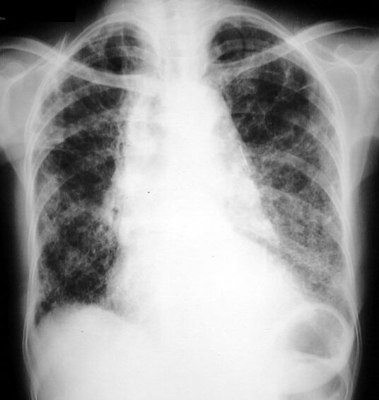
Lymphangitic Metastasis
Cancer Breast
Missing right breast Bilateral diffuse interstitial changes Uncoiling of aorta
Missing right breast
Bilateral diffuse interstitial changes
Uncoiling of aorta