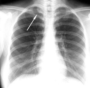
Lordotic View

Lordotic and kyphotic views are helpful whenever a lesion is detected behind the clavicle. The clavicle projects up in the lordotic view and projects down in the kyphotic view, making the lesion visible without the overlapping clavicle.

  • Extrapleural mass

  • Posterior mediastinal mass

  • Neurogenic tumor

Lordotic view below.