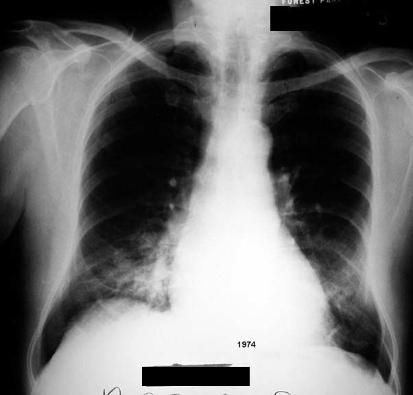
Lipoid Pneumonia

  • Alveolar

  • Mass like densities

  • Chronic

  • Lower lung fields

  • Bilateral in this case

See lateral and sequential films below.

 

 
Air space density projecting over RML and lingula