Inverted Comma

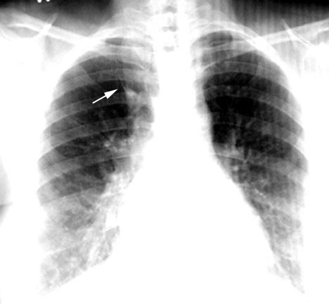
The azygous vein indents the pleura as it joins the SVC. This is not to be mistaken for transverse fissure.

This is an example of an azygous lobe.