![]() |
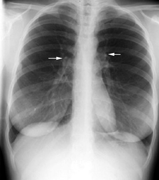
Hilum The left hilum is slightly at a higher level compared to right hilum. The hilum can be pulled up or down by lobar atelectasis. Alteration of the normal relationship between right and left hilum is a helpful clue for determining which lobe has lost the volume. |