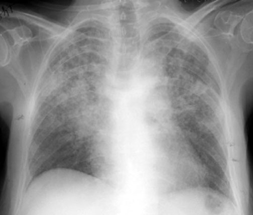
Hamman-Rich Syndrome

Rapid progression of interstitial disease