Air Fluid Level 

You can encounter air fluid level in an upright chest film in:

  • Cavities

  • Pleural space: Hydropneumothorax

  • Bowel: Hiatal hernia

  • Esophagus: Obstruction

  • Mediastinum: Abscess

  • Chest wall

  • Normal stomach

  • Dilated biliary tract

  • Sub diaphragmatic abscess

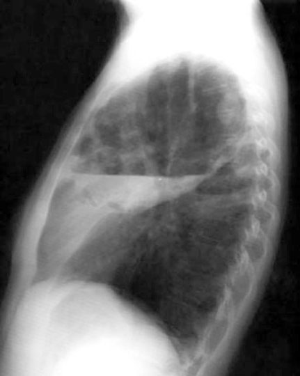
The x-ray on left is an example of lung abscess and tuberculosis.

LUL lung abscess

  • Fluid level

  • Necrotic mass along walls

RUL infiltrate: Tuberculosis

  • This appearance can also come from branchiogenous spread of abscess contents to the right lung. AFB was positive in this case.