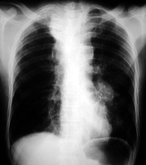
Air Fluid Level 

  • In mediastinum in PA view (not seen clearly)
  • In esophagus (in lateral view below)
  • Lung cancer with esophageal obstruction

Other findings include:

  • Loculated effusion
  • Paratracheal mass
  • Left hilar mass