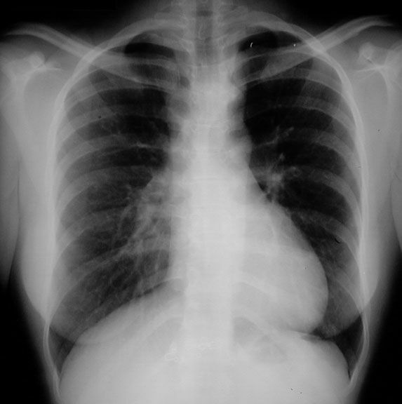
Coarctation Aorta

  • Post stenotic dilatation: Mogul sign
  • Rib notching: Difficult to see in this presentation