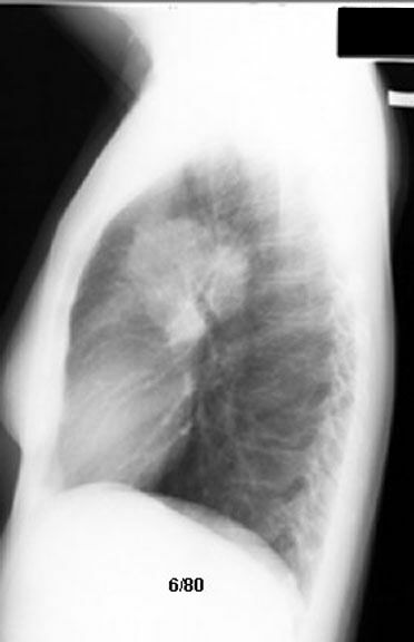
AP Window Nodes - Small Cell Cancer

  • Rapid clearance followed by recurrence
  • Polycyclic margin