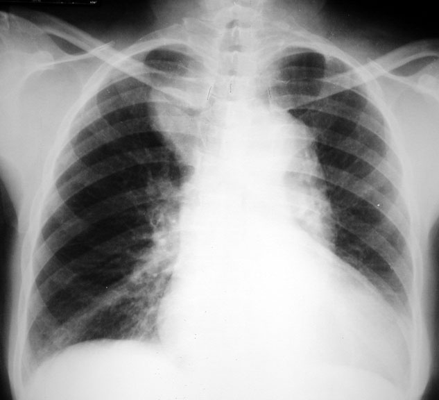
Dissecting Aneurysm

  • Mediastinal widening

  • Left diaphragm indistinct

  • Intimal calcification displaced inwards

  • Angiogram: Double lumen

 
Angiogram: Double lumen