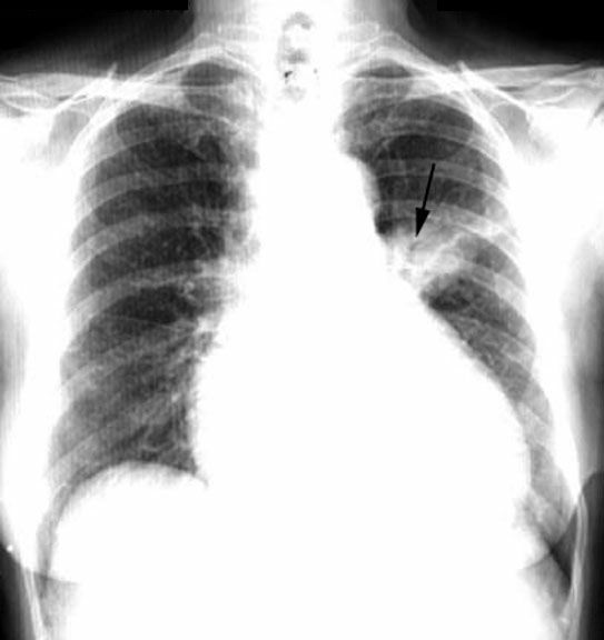
Alveolar Cell Carcinoma / 

Solitary Pulmonary Nodule

  • LUL anterior segment lesion
  • Round with irregular margins
  • Air bronchogram

See lateral view below.

 

  • LUL anterior segment lesion
  • Round with irregular margins
  • Air bronchogram