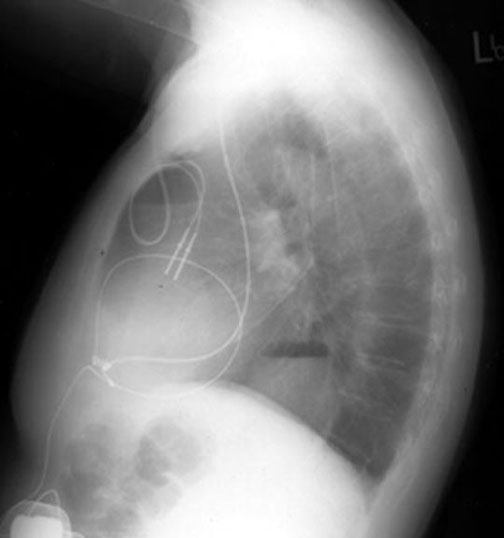
Air Fluid Levels

A:   Chest wall pacemaker
B:   Mediastinum: Hiatal hernia

Both  project over lung fields in the lateral view, but can be seen to be in the chest wall and mediastinum in the PA view.