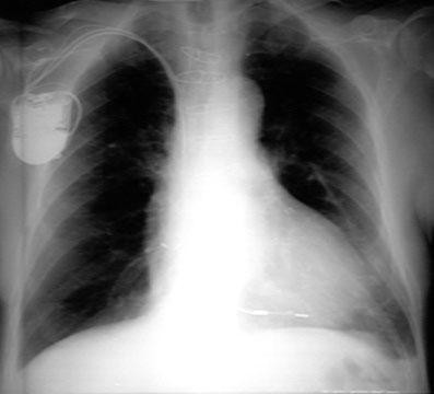
Note the large subcarinal mass in a patient with previously resected left lower lobe lung cancer.