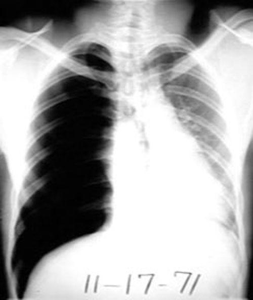
Note the shift of mediastinum to left.