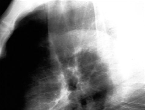
Note dark line representing air in front of trachea