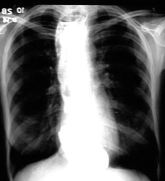
Esophagram of a patient with achalasia. Note the extent of dilated esophagus