The images are not necessarily from this case.

Case 1

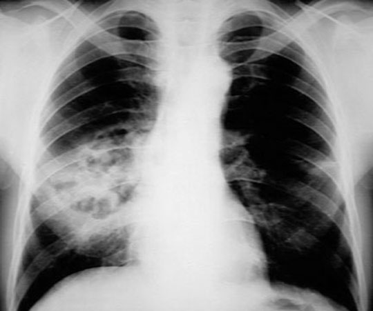
CXR Case 1: Density in the projection of right mid lung field silhouetting with right heart margin suggesting RML disease. Note also right hilar fullness.

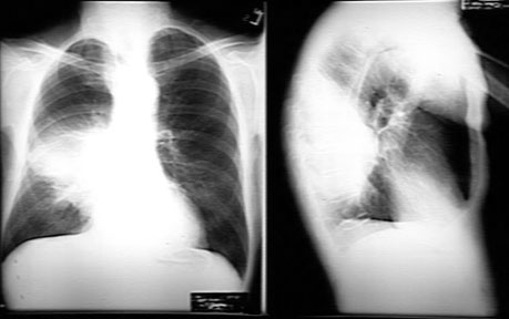
CXR Lateral: Consolidation in the projection of RML.

Clubbing: Bulbous swelling of distal fingers from a patient with lung cancer.

Surface anatomy lobes: To demonstrate the location of findings corresponding to RML

Surface anatomy lobes: To demonstrate the location of findings corresponding to RML

Bronchial breathing with crackles: Note the pitch, expiration as long as inspiration with a pause in between.

Community acquired pneumonia: List of organisms

Host predisposing factors: List of defects

Pulmonary defense drawing

Mucociliary escalator system

Lobar pneumonia: Note the lobar distribution.

Histology: alveoli filled with inflammatory cells

Stage 1

Stage 2

Stage 3

Pneumococcus: Gram positive diplococci

Pneumococus: Gram positive diplococci

Pneumococcus: Gram positive diplococci

Pneumococcus: Gram positive diplococci

Case 2

Case 2 CXR: Lateral showing patchy infiltrates

Bullous myringitis

Atypical pneumonia/ agents: List of organisms

Mycoplasma pneumoniae

Histology

Bronchopneumonia: Note patchy infiltrates

Lobar/broncho pneumonia: Diagrammatic representation

Viral pneumonia micro: Lymphoctic infiltration of interstitium.

Case 3

CXR initial: Consolidation of superior segment of RLL

CXR Proceeding to necrosis and cavitations

CXR follow up PA

CXR follow up lateral 

Sputum: 3 layered sputum (Purulent sediment, clear liquid, foam on top)

Gram stain? peritoneal fluid: Mixed organisms

Lung abscess path: Necrotic lung tissue

Gross lungs: Hole in lung

Bronchial tree Model

Drawing Bronchial tree

Clubbing: Bulbous swelling of fingers in a patient with metastatic lung disease

Send comments to Dr. A.J. Chandrasekhar M.D.