The images are not necessarily from this case.
Gas gangrene :
Listeria
Diphtheria
Meningococcal
- CSF
- Necrosis digits
- Bacterial meningitis: the autopsy specimen
consists of the brain without the dura mater. The sulci contain pus (arrows) which discolors the veins yellow. The leptomeninges covering the cerebral hemisphere is cloudy because of the acute
inflammation.
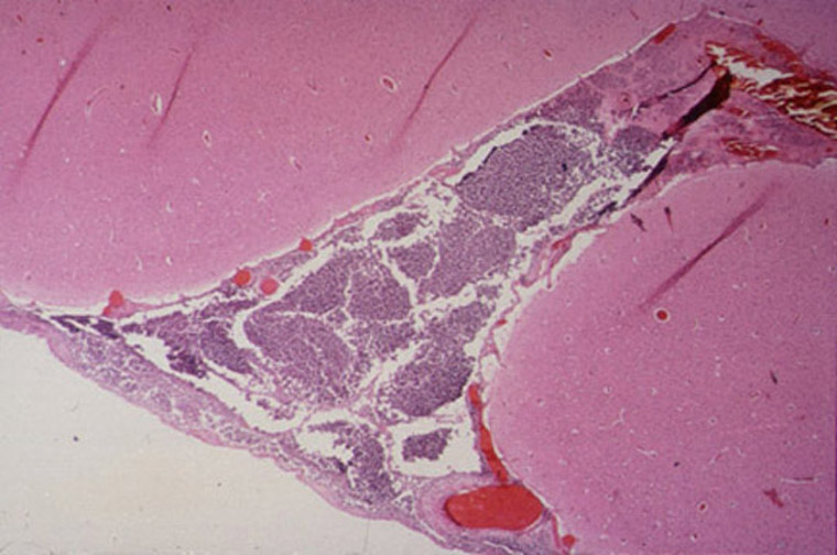
- Bacterial meningitis: the microscopic section of the brain reveals pus (asterisks) in the sulcus. The leptomeninges is infiltrated by neutrophils (cloudy).
- Bacterial meningitis: the microscopic section of the brain reveals neutrophils filling the
sulcus.
Send comments to Dr. A.J.
Chandrasekhar M.D.