The images are not necessarily from this case.

Normal stools

Black Stools  Melena: the specimen consists of a black, tarry stool passed per anus. Note the mahogany color at the edge of the specimen (filter paper). Dr Ralph Leischner 

Telengiectasia  osler-weber-rendu syndrome/Clinical photo  Dr Ralph Leischner 

"spider nevus" alcholic cirrhosis Dr Ralph Leischner

"spider nervus" compressed Dr Ralph Leischner

Parotid gland enlargement   Sjogren's syndomre Dr Harry Messmore

Upper GI tract / Ligament of Treitz

Duodenal ulcer  The surgical specimen (opened) of the distal stomach and proximal duodenum reveals an irregular ulcer of the duodenal mucosa. The ulcer is filled with clotted blood. The duodenal mucosa is stained with blood.  Dr Ralph Leischner 

Gastric ulcer  The surgical specimen of the distal stomach reveals a perforated, peptic ulcer.  Dr Ralph Leischner 

Hemorrhagic gastritis: the stomach is opened revealing diffuse hyperemia of the gastric mucosa. Dr Ralph Leischner 

Esophagitis

Esophgeal varices

Mallory-weiss tear

AV malformation

Ascites  Dr Ralph Leischner 

Hyperestrogenism Gynaecomastia sec to estrogen, dark areola.  Dr Arcot Chandrasekhar

Coffee grounds

Red blood and clots

Bile stained

Clear

EGD

Pale conjunctiva

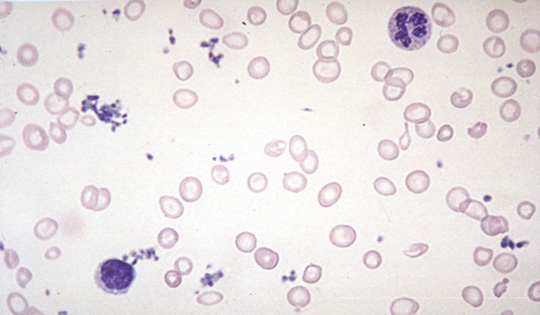
Hypochromic microcytic anemia  Dr Ralph Leischner 

Hemo-occult positive stools

Cancer colon    The surgical specimen consisting of terminal ileum and proximal colon reveals a large, exophytic adenocarcinoma in the cecum.   Dr Ralph Leischner 

Cancer stomach   The surgical specimen of the distal stomach reveals an adenocarcinoma. The neoplasm contains a central, necrotic ulcer. The edges of the ulcerated neoplasm are elevated above the mucosal surface.  Dr Ralph Leischner 

Cancer small bowel

Hemorrhagic telengiectasia

Liver metastasis  Dr Arcot Chandrasekhar

Liver CT normal

Liver Metastases

Send comments to Dr. A.J. Chandrasekhar M.D.