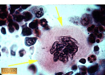
Q1 What cell is this?
Q2 What does this cell contribute to clotting?
Answer 1
Megakaryocyte
Answer 2
Platelets