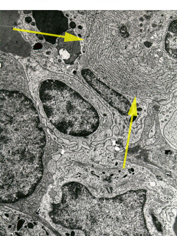
Identify cell.
Answer
Plasma cell