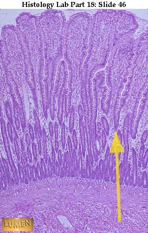
What type of cell would you expect to find at the arrow.
Answer
Primarily Paneth cells
but also some stem cells,
and enteroendocrine cells