|
Renal Masses |
What are the common renal masses?
- Simple renal cysts
- Renal cell carcinoma
- Poly cystic kidney disease
- Abscess
|
What are the useful imaging modalities used to investigate a renal mass?
- Ultrasonography
- The initial imaging procedure of choice, US can distinguish between a cyst and from a solid mass. Three major criteria for a single simple cyst on ultrasound are:
- the mass is round and sharply demarcated with smooth walls
- no echoes (anechoic) within mass
- strong posterior wall echo indicating good sound transmission through the cyst
- No further evaluation is necessary if all of these criteria are satisfied, since the likelihood of malignancy is small.
- If US equivocal (complex cyst), or suggestive of malignancy
- solid or complex
- with internal echoes
- and irregular walls
- if calcifications or septae are seen
- if multiple cysts are clustered so that they may be masking underlying carcinoma
- Then proceed to CT
- CT
- A renal CT scan, both with and without IV contrast, is the next appropriate step.
- It has replaced the renal arteriography as the next diagnostic step.
- CT is as accurate as, and obviates the potential morbidity of, angiography in defining the renal mass.
- Also, CT can give information about local staging to allow definitive surgical management if needed.
- MRI
- MRI is used to evaluate solid tumors seen on CT if a patient is unable to receive IV contrast.
- Vascular invasion, IVC thrombi are demonstrated without IV contrast.
|
|

|
What are the pathological characteristics of renal cancer?
- Mass in kidney
- Propensity to invade renal vein and inferior vena cava
- Tumor can extend to perirenal structures - nodes
|
What are the useful imaging procedures in patients suspected to have renal cell carcinoma?
We will discuss the primary tumor and not investigation of metastatic lesions.
- Primary tumor
- CT is the diagnostic procedure of choice. It can provide information about the mass, perirenal extension, vascular invasion, nodal and liver involvement.
- US: Serves as a screening test to diagnose renal cysts.
- MR: Useful to evaluate vascular invasion by the tumor.
- IVP and angiogram are rarely used now.
- Metastatic workups
|
What are the imaging manifestations of renal carcinoma?
- CT
- Hypodense unless it is hemorrhagic
- Cystic mass
- Calcified mass
- Most enhance after contrast administration, but less than normal kidney enhancement
- Thickened or irregular walls of cystic portion
- Thickened or enhanced septae within the cystic mass
- A multilocular mass
- Invasion of renal vein and IVC
- Nodes
|
|
Image Atlas of Renal Masses |
|

|
Normal Kidney in US
Measures 9-11 cm's
Has the same extent of echoes as liver
Cortex measures about 2.5 cm's
Central echoes are from fat surrounding renal pelvis.
Renal pelvis is filled with urine and is echo free. Note the posterior enhancement behind renal pelvis. |
|

|
Normal Kidney in CT
Located in retroperitoneum surrounded by fat.
Renal cortex enhances with IV contrast.
In the nephrographic phase the contrast has not been excreted and the renal pelvis appears dark.
Renal pelvis and ureters can be seen as the contrast is excreted by kidneys.
Note the relationship of kidneys
Renal veins drain into IVC. |
|

|
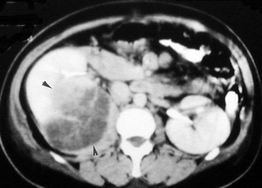
Renal Cell Carcinoma
- Arrow: Solid hypodense mass left kidney
- Arrowhead: Normal parenchymal enhancement
|
|

|
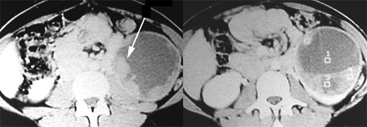
Renal Cell Carcinoma
- Mass is cystic and solid.
- Tumor nodules are seen arising from the wall of the cyst pointed by long arrow.
|
|

|
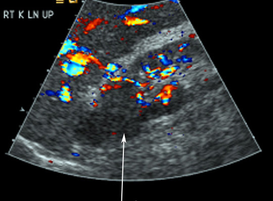
US
- Isoechoic mass or hypoechoic mass
- Hyperechoic mass
Renal Cell Carcinoma
- Almost isoechoic mass from upper pole
- No posterior wall enhancement to suggest a cyst
|
|

|
MR
- T1: Low signal
- T2: High signal
- Enhances with contrast
Renal Cell Carcinoma
- MR: Appears hypointense as compared to renal parenchyma.
|
|

|
Angiogram
- Neovascularization
Renal Cell Carcinoma
- A: IVP shows mass in the lower pole of left kidney
- B: Angiogram showing neovascularization
|
|

|
Simple Renal Cysts Most common in patients over 50 years of age.
These cysts are typically asymptomatic.
CT: Well defined mass with water [low] density usually in the renal cortex.
U.S Well marginated mass with no internal echoes and posterior enhancement indicating fluid.
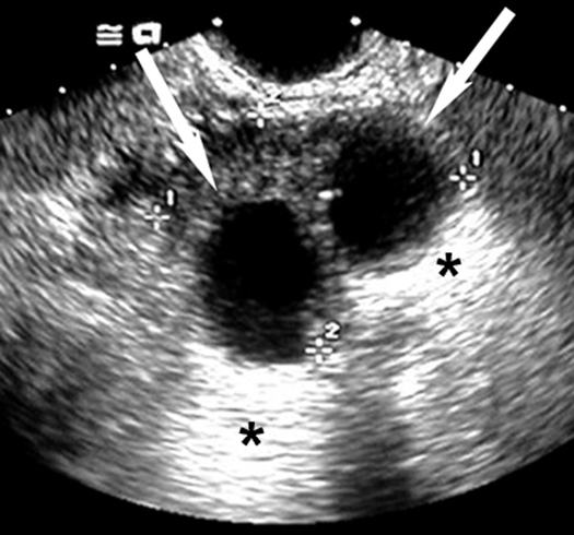
Renal Cysts
Ultrasound can easily distinguish renal cysts from mass lesions.
Simple anechoic renal cysts
Arrows points to cyst.
* Points to good through transmission of echoes behind the cyst.
|
|

|
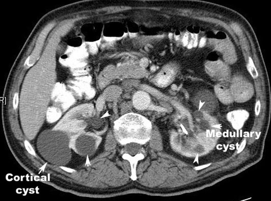
Multiple Renal Cysts
Characteristics of simple renal cyst:
- Round
- Thin walled
- Smooth interior
- Filled with clear liquid
- Does not enhance with contrast
|
|

|
Renal Abscess
Large low density mass within the parenchyma of right kidney, with a crescentic rim of renal parenchyma posterior to the abscess. Rim enhances with contrast.
|