Systematic Approach to Evaluating Spine Images for Medical Students in Imaging Studies
Develop a systematic approach to look at spine images and report findings as such:
- Spinal bony architecture (metastasis, osteoporosis, fracture, etc.)
- Disc space (herniation, infection, etc.)
- Intraspinal content (CSF, spinal cord)
Spinal cord tumors (common)
Location of the tumor helps in the differential of spinal cord tumors.
- Extradural (epidural): Epidural tumors are usually from metastatic involvement of vertebral bodies
- Intradural:
- Intramedullary: Ependymoma, Astrocytoma, Hemangioblastoma, Metastasis
- Extramedullary: Meningioma, Neurofibroma
|
What are the Available Imaging Procedures for Evaluation of Spinal Cord Compression and Their Utility?
- MRI is the best imaging technique to evaluate patients with spinal cord compression.
- Sagittal MRI images of the entire spinal canal will help identify other subclinical lesions.
- CT myelography is an alternate procedure if there is a contraindication to MRI study, but requires lumbar puncture and instillation of contrast.
|
Extradural (Epidural) tumors
- Extradural (epidural): Epidural tumors are usually from metastatic involvement of vertebral bodies.
- Lung cancer, breast carcinoma, thyroid carcinoma, renal cell carcinoma are common sites of primary that metastasize to vertebral bodies.
- Primary vertebral body tumors (less common): Osteoma, Osteogenic sarcoma, Chondroma, Chondrosarcoma, Chordoma
- Epidural tumors associated with the vertebral body lesions can lead to spinal cord compression in the cervical and thoracic spinal canal and nerve root compression (particularly in the cervical and lumbar regions).

Findings:
-
Bony metastasis involving the T8 vertebral body, right pedicle/transverse process and spinous process (yellow arrows in A,B,C,D) with epidural tumor producing marked degree of cord compression (red arrow).
Final impression
- Bony metastasis from renal cell carcinoma with epidural tumor producing cord compression
|
Extradural and Intramedullary Tumor in the Same Case
Bony Metastasis and Metastasis to the Spinal Cord
Case 2:
70 year old male who has been diagnosed with renal cell cancer. For the last month he has had sharp, shooting pain in his lower back which increases with coughing or straining. He is incontinent with normal strength.
Imaging findings: Figure 2
- Pre-contrast sagittal T1wtd. MRI of the lumbar spine
- bony metastasis (yellow arrow) is seen involving the T12 vertebral body
- Post-contrast (C+) sagittal T1wtd. MRI
- yellow arrow points to the bony metastasis that enhances with contrast
- red arrow points to intramedullay location of metastasis within the distal thoracic cord and showing contrast enhancement
- Sagittal T2 wtd. MRI
- green arrow points to edema within the thoracic cord
- Post-contrast (C+) axial T1wtd. MRI
- red arrow points to intramedullary metastasis
Findings are consistent with vertebral body metastasis and intramedullary metastasis from renal cell carcinoma. |
Intradural Extramedullary tumors Meningioma and schwannoma are common intradural extramedullary tumors. Nerve sheath tumors are pathologically classified as neurofibroma or schwannoma. Characteristics of meningioma:
- Dural based intradural tumor
- Intensely enhances with contrast
- May contain calcification
- The tumor can produce cord compression
Schwannoma arising from the spinal nerve root:
- An enhancing intradural nerve sheath tumor
- Dumbbell shape of tumor with intraspinal component can cause cord compression. The tumor can extend through an enlarged neural foramen following the exiting nerve root into the paraspinal region giving the appearance of dumbbell shape.
Differential: Schwannoma follows the exiting nerve root and as it exits, enlarges the neural foramina, thus differentiating from meningioma.
Meningioma are dural based, limited to the spinal canal and do not follow the nerve root.
|
Classic Example of Calcified Intradural Meningioma
Figure 3
Case 3 :
40 year old male presented with spastic weakness in his legs, and incontinence. His knee and ankle deep tendon reflexes are increased (3+) bilaterally, but 2+ elsewhere. The upper limbs are normal. Pinprick and temperature sensation are decreased below mid-torso.
Imaging findings: Figure 3
- Pre-contrast sagittal T1wtd. MRI
- yellow arrow points to an intradural ventrally located tumor producing thoracic cord compression.
- Post-contrast sagittal T1wtd. MRI
- tumor enhances with contrast (yellow arrow)
- Sagittal T2 wtd. image
- calcified nature of the tumor is identified as an area of dark signal intensity (yellow arrow)
- Pre-contrast axial CT
- yellow arrow points to an area of high CT attenuation density consistent with calcification
- red arrow points to displacement of thoracic cord to the right side
Final impression :
- An intradural extramedullary enhancing tumor.
- Ventrally located tumor has produced cord compression with displacement of the thoracic cord to the right side.
- Calcified nature of the tumor is identified on sagittal T 2 wtd. image as an area of dark signal intensity and confirmed by CT imaging as an area of high attenuation density.
Findings are consistent with meningioma.
|
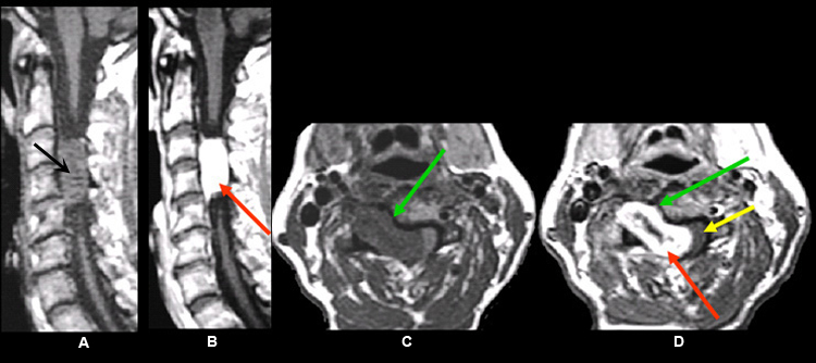
Schwannoma Arising From the Spinal Nerve Root

Figure 4
Case 4:
Imaging findings: Figure 4
- Pre-contrast sagittal T1wtd. MRI of cervical spine
- hypointense intradural mass (black arrow)
- Post-contrast (C+) sagittal T1wtd. MRI
- an enhancing intradural nerve sheath tumor (red arrow)
- Pre-contrast axial T1wtd. MRI
- hypointense dumbbell shape intradural mass (green arrow)
- Post-contrast axial T1wtd. MRI (C+)
- red arrow points to an enhancing intradural nerve sheath tumor
- yellow arrow points to cord compression
- green arrow points to the dumbbell shape of tumor with intraspinal component producing cord compression and paraspinal tumor extension through an enlarged neural foramen
Final impression:
- Dumbbell shape of tumor with intraspinal component producing cord compression and paraspinal tumor extension through an enlarged neural foramen following the exiting nerve root. This is characteristic of nerve sheath tumor.
- An enhancing intradural extramedullary nerve sheath tumor.
Imaging findings are consistent with schwannoma. |
Intradural Intramedullary spinal cord tumors
-
Intradural Intramedullary tumors are Ependymomas, Astrocytoma, Hemangioblastoma and Metastasis.
-
Intraspinal cord tumors are classified as intramedullary when they originate from the spinal cord itself.
-
Ependymoma and astrocytoma are common intramedullary tumors.
-
In intramedullary tumors, the cord expands both in sagittal and axial projections.
Astrocytoma:
- An inhomogeneous mildly enhancing tumor
- Large cysts can be seen both above and below the tumor
- Eccentric location of the tumor
Ependymoma:
- A sausage-shaped intensely enhancing tumor
- Central location of tumor is better appreciated on axial post-contrast image
Differential between ependymoma and astrocytoma:
- Ependymoma arise from ependymal lining of central canal and, hence, are centrally located. Astrocytomas are eccentrically located.
- Ependymomas intensely enhance with contrast, while astrocytomas show mild degree of enhancement.
|
Ependymoma of the Cervical Cord

Figure 5
Case 5:
Imaging findings: Figure 5
- Post-contrast (C+) sagittal T1wtd. MRI
- sausage-shaped intensely enhancing tumor (yellow arrow) is seen within the upper cervical cord extending from just above the craniocervical junction with involvement of the dorsal medulla (black arrow) down to C5 level
- Sagittal T2 wtd. MRI image of the C spine
- small amount of old hemosiderin blood product is better seen on T2 wtd. image as an area of dark signal intensity within the edge of the tumor (white arrow)
- Post-contrast axial T1wtd. MRI (C+)
- central location of tumor (yellow arrows) is better appreciated on axial post-contrast image
.
Final impression:
- This is intramedullary tumor because the cord has expanded in both sagittal and axial projections.
- It is centrally located.
- Intensely enhancing tumor.
Imaging findings are consistent with ependymoma.
|