Pathology
P ulmonary
Aliya N. Husain, M.D.
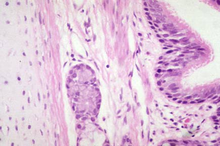
High power of fig. 6, with pseodostratified respiratory epithelium at top and cartilage at bottom.