Pathology
P ulmonary
Aliya N. Husain, M.D.
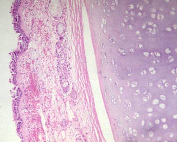
Microscopic section of normal bronchus showing respiratory epithelium, submucosal glands and cartilage.