Pathology
P ulmonary
Aliya N. Husain, M.D.
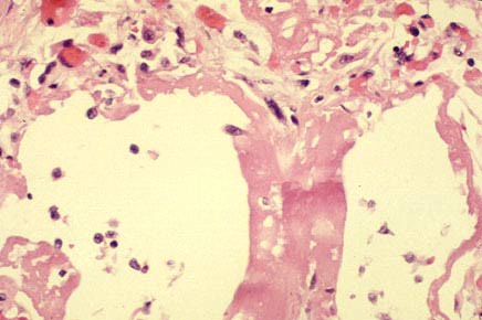
High power of fig. 25, acute ARDS.