Pathology
P ulmonary
Aliya N. Husain, M.D.
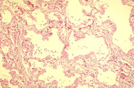
Low power photomicrograph of adult respiratory distress syndrome (ARDS) showing hyaline membranes and interstitial edema.