Pathology
P ulmonary
Aliya N. Husain, M.D.
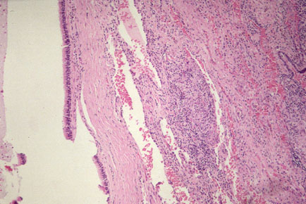
Microscopic picture showing respiratory type epithelium living cyst in CCAM, type I.