Pathology
P ulmonary
Aliya N. Husain, M.D.
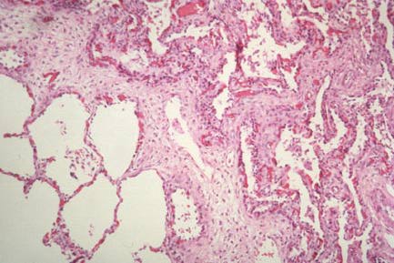
Low power of lung with BPD; severe fibrosis at upper left, compensatory emphysema of less damaged area at bottom right.